Search


Bilateral Facet Dislocation at C7-T1
A 70-year-old female fell off her bed while changing a light bulb and complains of left shoulder pain. What is the diagnosis? • Xray of the Week Figure 1. Non-contrast CT of the cervical spine. What is the diagnosis? Figure 2. Non-contrast CT of the cervical spine (sagittal reconstructions): Bilateral facet dislocation at C7-T1 with anterior subluxation of C7 on T1. The inferior facets of C7 are locked anterior to the superior facets of T1 (yellow and green arrows), with ante


Bilateral HeRO Grafts
52 year old Male on dialysis. What are the devices? • Xray of the Week Figure 2: Frontal chest radiograph in a dialysis patient . What are the devices? Figure 2: Frontal chest radiograph in a dialysis patient with bilateral HeRO grafts. The green arrow indicates the proximal aspect of the right-sided nitinol-reinforced venous component entering the central circulation via the internal jugular vein. The red arrow highlights the left-sided system entering via the subclavian v


Brachydactyly Type A3
50-year-old female presenting with short 5th finger . What is the diagnosis? • Xray of the Week Figure 1. Frontal bilateral hand X-ray. What is the diagnosis? Figure 2. Frontal bilateral hand X-ray: Severe shortening of the middle phalanx of the fifth digit (red arrows). The phalanx measures less than 50% of the length of the adjacent fourth middle phalanx, satisfying the Hertzog criteria for Brachydactyly Type A3. A mild radial clinodactyly is present, secondary to the wedg


Arachnoiditis Ossificans
An 74-year-old male with chronic low back pain and progressive lower extremity weakness. What is the diagnosis? • Xray of the Week Figure 1. Non-contrast CT of the lumbar spine. What is the diagnosis? Figure 2. Non-contrast CT of the lumbar spine (axial, sagittal, and coronal reconstructions): Central pattern of arachnoiditis ossificans demonstrating dagger-like ossification within the central spinal canal at the L5 level (red arrows). The linear, hyperdense bony bar courses


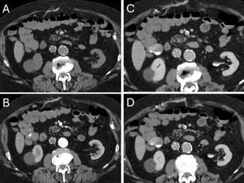
Active Bleeding in the Ascending Colon
An 83-year-old male with rectal bleeding. What is the diagnosis? • Xray of the Week Figure 1. CTA abdomen/pelvis. What is the diagnosis? Figure 2. CT angiogram: A. Non-contrast images are normal (yellow arrow) . B. Arterial phase image: Hyperdense extravasation of contrast within the lumen of the ascending colon (blue arrow), indicating active bleeding. C and D. Note the dependent layering of contrast on portal venous phase images, confirming active extravasation. Diagnosis A


Takayasu Arteritis
25-Year-Old Female with Abdominal Pain and Weight Loss: Diagnosis? • Xray of the Week Figure 1. 25-Year-Old Female with Abdominal Pain and Weight Loss: Diagnosis? Figure 2. CTA through the thoracic and abdominal aorta. A. Axial image through the descending thoracic aorta demonstrates concentric mural thickening and mild stenosis (yellow arrow). B. Axial image through the infra-renal abdominal aorta demonstrates mild concentric mural thickening and severe stenosis (red arrow).


Independent Travel from Hotel Chinzanso Tokyo to Hyatt Regency Kyoto for Imaging in Japan 2026
Quick summary From Hotel Chinzanso Tokyo to Tokyo Station: Taxi (≈30 mins) ~ ¥5,000 ($34). Tokyo to Kyoto on Shinkansen: Nozomi train, ~ 2 hr 15 min, reserved seat ~ ¥14,500 ($95) per adult. Book early as the seats may be limited. Japan Rail Pass - JRailPass.com スマートEX Carry-On Rules for Shinkansen: Suitcases under 160 cm (sum of L+W+H) can be brought onboard. Larger luggage requires reservation or baggage forwarding. Baggage forwarding (Tokyo→Kyoto): Most services are nex


Fracture of the Right Cervical Rib
Cervical ribs are supernumerary ribs arising from C7 and are more frequent than commonly appreciated on CT, where they may be overlooked without deliberate scrutiny of the thoracic inlet. Recognition matters because their morphology, length, and articulation vary and can predispose to local compressive phenomena.


Hyphema with Vitreous Hemorrhage
Hyphema refers to hemorrhage into the anterior chamber of the eye, most often secondary to blunt or penetrating trauma. On non-contrast orbital CT, hyphema appears as a hyperdense collection filling or layering in the anterior chamber, anterior to the lens.


Scimitar Syndrome on Chest X-Ray
Scimitar Syndrome is a rare congenital condition characterized by partial anomalous pulmonary venous return (PAPVR), where pulmonary veins from the right lung drain into systemic veins—most commonly the inferior vena cava—creating a curvilinear “scimitar” appearance on chest radiographs.




















